什麼是MRC?
國外醫學與國內醫學在預防與治療上的意識相差不是一年兩年的事,這種低成本低痛苦指數的牙齒矯正相信會被越來越多的人接受並認可。
MRC矯治器是一種新型的矯正器,因此擁有很多其他矯正器沒有的特點。
該矯治器的設計,不僅能矯正牙齒,而且能糾正不良口腔習慣,如口呼吸、吐舌習慣和異常吞咽習慣等,從而去除導致牙齒不正的根本原因。MRC是對錯頜畸形的根源進行治療,恆牙列的時候很難對生長進行干預,乳牙列和混合牙列是早期干預的理想時期。MRC肌功能矯治通俗點講就是兒童的「整牙」利器。
迄今為止,這項技術已被世界120多個國家的正畸醫生使用。這種引導孩子自然生長的訓練所產生的效果,是傳統矯正無法達到的。
什麼是MRC呢?
MRC是麥鷗肌功能研究中心(Myofunctional Research Center)的簡稱。
MRC肌功能訓練矯治系統是於上世紀九十年代初,由澳大利亞正畸專家Chris Farrel醫師應用計算機並結合自己大量的正畸臨床工作設計而成,該系統系列產品已獲得國際專利,並已在澳洲、美洲廣泛使用。
MRC的矯治原理
通過訓練舌頭的正確位置,正確的吞咽方式和用鼻呼吸,MRC的訓練器和矯治器給孩子們帶來整齊的牙齒排列。同時,訓練器也對牙列施加輕度的力量,以幫助牙齒的排列和牙弓的擴張。
那乳牙期和替牙期牙齒咬合出現問題怎麼辦?
其實針對這些早期就預見的口腔問題,MRC牙頜畸形矯治系統。作為一個很好的解決方案,卻鮮少有人了解。
MRC肌功能矯治系統三大功能
糾正不良口腔習慣:調整唇、舌體位置,改正呼吸、吞咽習慣

矯正畸形牙列牙頜:預防和矯正牙頜畸形,確保牙齒排列整齊

預防面部發育畸形:平衡頜骨、肌肉正常發育,預防面部畸形

MRC的肌功能矯治器的材質是軟硅膠的,醫生會根據孩子的口腔情況來選擇大小,會給牙齒、頜骨留出一定空間,所以孩子戴著的時候就會有足夠空間,不會壓在上面,因此不會有強烈的不適感,戴進去也只是將嘴巴輕輕包起來而已。
MRC的設計特點
1、中空的舌頂,舌擋和舌墊,訓練舌體時刻位於正確位置,破除吮指等習慣;
2、呼吸孔,幫助過渡到正確的鼻呼吸;3、伸長的唇擋,預防唇肌功能過強和過渡活躍;4、牙齒軌道,可以排齊前牙。

關於MRC的佩戴
使用簡單:白天佩戴1小時+1晚,僅需6個月,睡出整齊牙齒
佩戴舒適:無毒無味無副作用,體積小、輕便
趣味治療:親子式治療,與小夥伴一起,邊玩邊學邊矯正, 寓治於樂

MRC的適用範圍
l 有不良口腔習慣,如吐舌咬唇等
l 有不正常咀嚼動作
l 牙齒矯正時的輔助配套治療
l 預防牙齒不齊的干預性治療
l 兒童早期的錯頜畸形(如地包天等發育)


MRC矯正最佳時期
乳牙期(3—5歲):主要適用於乳牙反頜,早期矯正有利於上頜骨發育,預防錯頜。
替牙期(8—12歲):如有咬唇、伸舌、前伸下頜等癥狀,家長應及時帶孩子檢查正畸。
恆牙期(11—15歲):常見的錯頜畸形、牙列不齊、地包天等畸形牙均可得到最佳治療。
多長時間見效?
一般來說6~10歲的孩子,只要跟醫生配合度比較高,佩戴的時間足夠,常規的話其實是八到十個月就能見效。從臨床上看,要讓小朋友有一個適應過程,再加上我們中國小朋友可能功課比較多,那麼剛開始配合的話也不是特別好,所以一般現在是十到十二個月的一個配戴時間,基本上是效果比較好的。
MRC案例
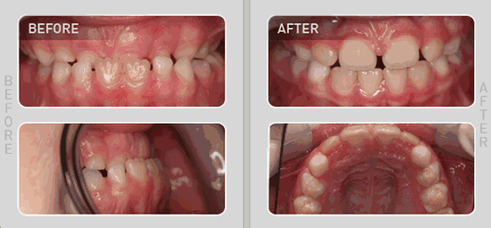
案例一:八歲的女孩有遺傳性深覆頜,接受治療10個月後面型有非常明顯的改善。

案例二:原本往外飛的齙牙,在接受治療後也明顯收回了。

案例三:國外一對雙胞胎姐妹習慣用口進行呼吸,其中一個進行了早期干預,另一個未乾預,面部輪廓發育差距非常大!

總結
以Chris Farrel為代表的國外醫生認為提前對牙齒整齊度進行科學的管理和干預,使有可能長歪或正在長歪的牙齒自發地走上正軌,並且達到孩子生長發育的最佳狀態,從而解決牙齒不齊和面部發育不足的問題。
國外醫學與國內醫學在預防與治療上的意識相差不是一年兩年的事,這種低成本低痛苦度的口腔矯正相信會被越來越多的人接受並認可。
PS:如果等孩子成年後再矯正,投入的資金成本和時間都是MRC的3倍以上!
更多美學有關的內容請關注微信公眾號:燃小妖
http://weixin.qq.com/r/-i_FnTvEaGYXrX-_93rs (二維碼自動識別)
兒童早期矯正,無托槽,使用的咬合功能矯治器
推薦閱讀:
